Relato de caso conduzido por pesquisadora da UNIFAL-MG oferece alternativa conservadora para tratamento estético em dentes com calcificação pulpar

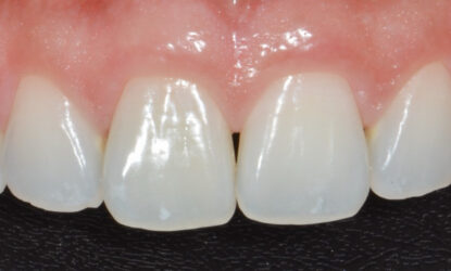
Um estudo odontológico realizado na UNIFAL-MG apresentou uma alternativa eficaz e conservadora para o clareamento de dentes com calcificação pulpar distrófica – condição que costuma provocar escurecimento dental após traumas. O caso clínico, acompanhado por um período de 10 anos, demonstrou resultados duradouros, sem necessidade de tratamento de canal e com preservação da estrutura dentária.
Segundo a professora Greciana Bruzi Brasil Pinto, da Faculdade de Odontologia (FO), pesquisadora que coordenou o estudo, o relato de caso envolveu uma paciente com escurecimento no dente anterior causado por calcificação pulpar, mas sem sinais clínicos que indicassem a necessidade de intervenção endodôntica.
“A calcificação pulpar distrófica, geralmente está relacionada com traumas dentários, fazendo com que o dente se apresente com uma coloração mais amarelada, devido à deposição de dentina terciária dentro da câmera pulpar e canal radicular (dentro do dente). Geralmente, esta alteração de cor, provocada pela calcificação pulpar, gera desconforto estético por parte do paciente”, explica.
O tratamento adotado consistiu na aplicação de um agente clareador à base de peróxido de carbamida a 37%, considerado mais brando, durante uma hora por dia, ao longo de seis dias consecutivos. “Um dente que sofreu trauma e apresenta calcificação pulpar, pode ser mais sensível a ações do meio externo, por isso, optamos por um agente clareador que consideramos menos agressivo”, detalha.
A pesquisadora explica que o clareamento é um tratamento simples, fácil de ser realizado, porém, imprevisível, o que levou ao desafio de saber como o dente se comportaria ao longo do tratamento. Dessa forma, foram realizados exames clínicos e de imagem, os quais mostraram que o interior do dente estava obstruído, mas sem sinais de inflamação na raiz. Por isso, a equipe optou por não fazer o tratamento de canal, a fim de preservar a parte interna do dente. “Neste caso, optamos por preservar a polpa, sem a realização do tratamento endodôntico, por ser uma alternativa mais conservadora, uma vez que não existe um consenso em relação à abordagem endodôntica de um dente calcificado”, comenta.
Ao final dos 10 anos de acompanhamento, o dente permaneceu com coloração satisfatória e sem alterações pulpares adicionais. “O resultado foi bastante positivo, após um período de 10 anos o dente permaneceu com uma coloração aceitável, além de não apresentar nenhuma outra alteração pulpar, além da já manifestada previamente”, afirma.




Conforme a pesquisadora, a abordagem pode ser considerada na prática clínica por ser menos invasiva e de baixo custo, desde que se respeite a individualidade de cada caso. “O clareamento de consultório utilizando agente clareador à base de peróxido de carbamida é uma alternativa para dentes calcificados e apresenta um baixo custo e simples aplicação. Entretanto, conhecer cada paciente e seu histórico são fundamentais, para se obter sucesso no tratamento escolhido”, reforça.
O caso clínico foi realizado pela professora Greciana Bruzi e contou com a colaboração de Mariana Rodrigues, recentemente formada em Odontologia pela Universidade. Os resultados foram relatados em um artigo assinado pelas pesquisadoras da UNIFAL-MG em parceria com a professora Adriana Oliveira, da Universidade Estadual de Feira de Santana, e suas orientadas, Alana Souza e Nathália Sá.
Para ler na íntegra, acesse o artigo publicado pela Revista da Faculdade de Odontologia da Universidade de Passo Fundo.
Por Ana Carolina Araújo (Unifal / MG)